
Veneers Feldspathic là gì?
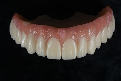
Mặt dán Feldspathic, được làm từ khoáng chất fenspat, là một lựa chọn phổ biến trong công nghệ nha khoa truyền thống. Vật liệu này được nghiền thành bột mịn và được chế tạo thành gốm giống như thủy tinh bởi các nghệ nhân nha khoa lành nghề của Trung Quốc. Sử dụng các lớp nhựa fenspat mỏng, mỗi tấm veneer được làm thủ công bởi kỹ thuật viên nha khoa được chứng nhận, nung đến mức hoàn hảo và tạo đường viền để đạt được vẻ trong suốt và tự nhiên. Những mặt dán này là dấu hiệu đặc trưng của các phòng thí nghiệm nha khoa chất lượng cao, đặc biệt là các phòng thí nghiệm nha khoa ADS của Trung Quốc.
Veneers Feldspathic là một lựa chọn cao cấp để cải thiện vẻ ngoài của răng. Được sản xuất tại phòng thí nghiệm nha khoa ADS được chứng nhận của Thâm Quyến, những mặt dán này mang lại nhiều ưu điểm:

01
Ngoại hình tự nhiên
Mặt dán Feldspathic được thiết kế tùy chỉnh để kết hợp hoàn hảo với răng tự nhiên của bạn, đảm bảo nụ cười giống như thật. Độ trong mờ của chúng bắt chước vẻ ngoài của men răng tự nhiên, khiến chúng gần như không thể phát hiện được.
02
Chuẩn bị răng tối thiểu
Không giống như mặt dán E-max, mặt dán feldspathic yêu cầu ít hoặc không cần loại bỏ men răng, bảo tồn cấu trúc răng tự nhiên. Mặt dán nha khoa không cần chuẩn bị là một tính năng chính được cung cấp bởi phòng thí nghiệm nha khoa Trung Quốc của chúng tôi.
03
Độ bền
Mặc dù mỏng (chỉ khoảng 0,3 mm), mặt dán fensspathic có thể tồn tại đến 10 năm hoặc hơn khi được liên kết đúng cách.
04
Hiệu quả chi phí
Phòng thí nghiệm Nha khoa ADS ở Trung Quốc đảm bảo cung cấp mặt dán veneer fensspathic với mức giá hợp lý, giúp tất cả mọi người đều có thể tiếp cận các giải pháp nha khoa cao cấp.
Veneer Feldspathic phù hợp với ai?

Bệnh nhân cần mặt dán sứ không chuẩn bị trước.
Răng có hầu hết men răng còn nguyên vẹn.
Các khuyết tật nhỏ như khoảng cách không đều, đổi màu hoặc biến dạng nhẹ.
Những người có nhu cầu thẩm mỹ cao.
Tại sao chọn chúng tôi?
Chúng tôi đang tìm kiếm đối tác hợp tác để mở rộng kinh doanh.
Giải pháp hậu cần toàn cầu
Quan hệ đối tác của chúng tôi với FedEx, UPS, DHL và LINEX cho phép giao hàng toàn cầu nhanh chóng và an toàn.
Chuyên môn của phòng thí nghiệm nha khoa Thâm Quyến
Chúng tôi là phòng thí nghiệm nha khoa hàng đầu tại Trung Quốc với hơn 400 kỹ thuật viên nha khoa được chứng nhận chuyên về mặt dán sứ và các giải pháp nha khoa cao cấp khác. Đội ngũ của chúng tôi có nhiều thập kỷ kinh nghiệm về công nghệ nha khoa truyền thống và tiên tiến.
Hỗ trợ khách hàng tận tâm
Hơn 40 đại diện được đào tạo cung cấp khả năng liên lạc liền mạch và hỗ trợ trực tuyến 363-trong ngày.
Thời gian quay vòng nhanh
Một trường hợp đơn giản, bao gồm cả hậu cần, có thể được hoàn thành chỉ trong 7 ngày.
Bảo hành toàn diện
Tất cả các mặt dán fensspathic của chúng tôi đều được bảo hành dài hạn, phản ánh cam kết của chúng tôi đối với các tiêu chuẩn phòng thí nghiệm nha khoa chất lượng cao ở Trung Quốc.
Sản phẩm nha khoa được chứng nhận
Veneers của chúng tôi đáp ứng các chứng nhận quốc tế như CE, FDA và ISO, đảm bảo an toàn, độ tin cậy và hiệu suất cao nhất
Câu hỏi thường gặp
Tại phòng thí nghiệm nha khoa ADS Trung Quốc, chúng tôi kết hợp kỹ thuật thủ công hiện đại với công nghệ nha khoa truyền thống để cung cấp các giải pháp phòng thí nghiệm nha khoa chất lượng cao. Hãy liên hệ với chúng tôi ngay hôm nay để có các dịch vụ phòng thí nghiệm nha khoa với giá hợp lý và trải nghiệm sự xuất sắc của phòng thí nghiệm nha khoa dán veneer hàng đầu của Thâm Quyến.
Sự khác biệt giữa mặt dán E-max và mặt dán Feldspathic là gì?
+
-
Mặt dán E-Max, được làm bằng lithium disilicate, được biết đến với độ bền và độ bền. Tuy nhiên, mặt dán fensspathic, được chế tạo tại phòng thí nghiệm nha khoa Thâm Quyến, cho phép tùy chỉnh nhiều hơn về hình dạng và màu sắc. Chúng thường được ưa chuộng vì có được vẻ ngoài tự nhiên, cá tính.
Veneers Feldspathic mỏng như thế nào?
+
-
Mặt dán Feldspathic có thể mỏng tới 0,3 mm, cần phải chuẩn bị răng ở mức tối thiểu.
LÀMes bệnh tâm thần phân liệtdán sứ veneer có cần phải chuẩn bị răng không?
+
-
Miếng dán fensspathic rất mỏng có thể được tạo ra mà không cần chuẩn bị răng nhiều.
Chúng có giống răng tự nhiên không?
+
-
Đúng vậy, mặt dán feldspathic được thiết kế tỉ mỉ để tái tạo màu sắc, kích thước và hình dạng của răng tự nhiên của bạn, tạo ra nụ cười hoàn hảo và tự nhiên.
Chúng kéo dài bao lâu?
+
-
Nếu được chăm sóc thích hợp, mặt dán fensspathic có thể tồn tại hàng thập kỷ. Đánh răng thường xuyên, dùng chỉ nha khoa và tránh thức ăn cứng sẽ đảm bảo tuổi thọ của chúng.
Chú phổ biến: veneers feldspathic, nhà sản xuất, nhà cung cấp, nhà máy sản xuất veneers feldspathic Trung Quốc
